Researchers find potential link between chronic pain, immune condition
Patients with high-impact chronic pain had eosinophilia at a higher rate than the general population, according to a new University of Arizona study.

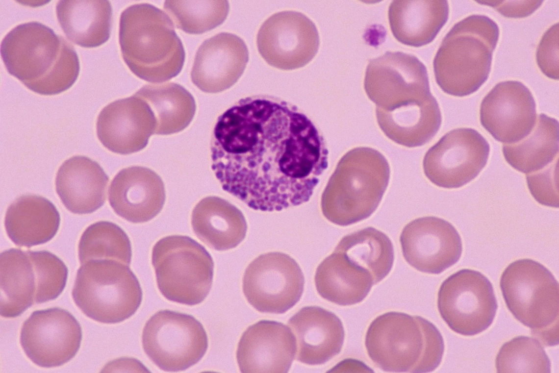
Research showing an increased presence of eosinophilia in certain people with high-impact chronic pain pain suggests a possible link between chronic pain and the immune system.
Photo by Ed Reschke via Getty Images
University of Arizona researchers may have uncovered a connection between chronic pain and a somewhat uncommon immune condition, opening the door to future research on immune biomarkers for chronic pain.
A small study of medical records led by Julie Pilitsis, MD, PhD, professor and chair of the Department of Neurosurgery at the U of A College of Medicine – Tucson, unexpectedly found that 12% of chronic pain patients who were treated with spinal cord stimulation or an implanted pain medicine pump had a white blood cell condition called eosinophilia. The condition is often a result of something gone awry with the immune system and is typically seen in less than 1% of the general population.

Dr. Julie Pilitsis is the chair of the Department of Neurosurgery at the College of Medicine – Tucson and a member of the Comprehensive Center for Pain and Addiction.
Photo by Noelle Haro-Gomez, U of A Health Sciences Office of Communications
While patients with eosinophilia didn’t appear to fare any worse in their treatment, the findings suggest a possible link between chronic pain and the immune system. The paper was published in Neuromodulation: Technology at the Neural Interface.
Pilitsis, a member of the U of A Comprehensive Center for Pain and Addiction, specializes in treating chronic pain, which, she said, is increasingly thought to involve an inflammatory component.
Eosinophilia is characterized by a high number of eosinophils in the blood. Eosinophils are a type of white blood cell that play roles in defending against allergens and protecting the body against fungal and parasitic infections. The condition has been linked to a variety of disorders, including autoimmune and chronic inflammatory diseases.
“Few studies have examined a connection between eosinophilia and pain,” Pilitsis said. “We’re always looking for risk factors to identify and modify – and which ideally could help us predict who will respond to chronic pain treatment.”
According to the U.S. Centers for Disease Control and Prevention, approximately 24.3% of U.S. adults experience chronic pain, with about 8.5% of adults experiencing high-impact chronic pain that significantly affects daily life and functioning. Those receiving spinal cord stimulation or a pain medicine pump usually are in the latter category, Pilitsis said.
A spinal cord stimulator is an implanted device that sends low levels of electricity directly into the spinal cord to relieve pain. An intrathecal pain pump is surgically implanted and delivers pain medication directly into the fluid surrounding the spinal cord.
Pilitsis and her co-workers reviewed the medical records of 212 patients who underwent spinal cord stimulation or intrathecal drug pump implantation for high-impact chronic pain. They evaluated data from 114 patients who had routine blood tests done within the month prior to treatment to determine the incidence and clinical relevance of eosinophilia.
“The condition typically affects fewer than 1 in 100 people, and we found 14 of 114, or roughly 12%, in this group had eosinophilia before treatment,” Pilitsis said. “Now we’re asking what is it about eosinophilia that might predispose someone to chronic pain? Should we be looking at this as a biomarker before and after treatment to see if the latter reduces the eosinophilia?”
Roughly 70% of spinal cord stimulation patients see some reduction in pain.
“We don’t know if this could be a marker to help identify patients who might do better or worse with treatment, and if inflammation plays a role,” Pilitsis said. “Could spinal cord stimulation reduce inflammation at some point?”
She noted that inflammatory conditions such as rheumatoid arthritis didn’t correlate with eosinophilia.
“It’s just speculation, but for those who don’t do well, we could think of adding an anti-inflammatory to the chronic pain treatment. We still have many questions.”
Additional co-authors from the U of A Department of Neurosurgery include Dr. Martin Weinand, professor of neurosurgery, and medical school students Hanna Johnson and Avantika Mitbander. Other co-authors include Emma Sargent of Florida Atlantic University and College of Medicine – Tucson pre-residency fellow Dr. Henry Skelton.
Experts
Julie Pilitsis, MD, PhD
Chair and Professor, Department of Neurosurgery, College of Medicine – Tucson
Physician Executive, Functional Neurosurgery, Banner Health System
Professor, Department of Physiology, College of Medicine – Tucson
Professor, Department of Biomedical Engineering, College of Engineering
Interim Director, Neurological Surgery Residency Program
Director, Stereotactic and Functional Neurosurgery Fellowship Program
Director, Pre-Residency General Neurosurgery Fellowship Program
Member, BIO5 Institute